Anciennes formations
Du 15 au 17 mars 2017PARIS (75008)Médecine FélineNational (Siège)265VETOALP 2017
Mes Chers Confrères, VETO-ALP va fêter en 2017 son 25e anniversaire.
Peu de séminaires AFVAC peuvent s’enorgueillir d’avoir une telle antériorité et de garder le même succès au fils des ans. Je crois sincèrement que la qualité du programme scientifique que le Bureau de l’AFVAC Rhône-Alpes essaie chaque année de vous proposer et la convivialité sont les facteurs clés de ce succès.
<...En savoir plus
Du 13 au 16 mars 2017Chamonix-Mont-Blanc (74400)Médecine InterneRhône-Alpes, G.E.M.I.161Avant VETOALP 2017
Journée « pré-congrès » VETOALP 2017 (programme et inscriptions VETOALP 2017 ici), niveau spécialisé, optionnelle, à un tarif exceptionnel.
En savoir plus
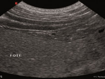
Du 12 au 13 mars 2017Chamonix-Mont-Blanc (74400)Médecine InterneRhône-Alpes, G.E.M.I.159Echographie du tube digestif et de ses annexes (foie - pancréas) - MODULE SATELLITE A : Nantes
Le plan de formation est composé d’un module central et de trois modules satellites.
L’objectif du module central est d’instaurer un protocole standardisé pour l’examen échographique de l’abdomen. Les bases théoriques et pratiques de l’échographie, la topographie abdominale et l’aspect échographique normal des organes abdominaux seront également repris.
Les modules satellites se...
En savoir plus
Du 11 au 12 mars 2017La-Chapelle-sur-Erdre (44242)Imagerie MédicaleG.E.I.M.205Après-midi Conduite à tenir en ophtalmologie (saison 2)
Cette présentation se veut pratique et adaptée à l’exercice quotidien. Des arbres décisionnels permettant d’aider à la prise en charge de syndromes classiques en ophtalmologie vous seront exposés. L’accent sera mis sur les pièges diagnostiques et les options thérapeutiques. Le tome II des conduites à tenir en Ophtalmologie vous sera remis afin de trouver une place privilégiée dans votre « vétot...
En savoir plus
Le 11 mars 2017Fey (57420)OphtalmologieG.E.M.O.221L'animal arthrosique: comment bien le prendre en charge
C’est dans un nouveau lieu « Le manoir du Prince » que nous vous accueillerons pour cette journée consacrée à l’animal arthrosique. Motif de consultation ou découverte fortuite, l’arthrose représente pour le praticien généraliste un défi diagnostique et thérapeutique pour soulager ces animaux. Au cours de cette journée seront abordés le diagnostic et les différents traitements...
En savoir plus
Le 10 mars 2017Portet-sur-Garonne (31120)Midi-Pyrénées - Languedoc240Les après-midi techniques AFVAC ouest : médecine
La section Ouest vous propose une après midi technique sur les gestes fréquemment réalisés en médecine interne. A l'issue de cette formation le participant devra être capable de réaliser une thoracocentèse, poser un drain thoracique, réaliser une biopsie osseuse et mettre en place une alimentation assistée.
En savoir plus
Le 9 mars 2017Taden (22100)Médecine InterneOuest206Soirée Nerfs crâniens épisode 2/3 : L’asymétrie faciale
2017 sera l’année des nerfs crâniens en Poitou-Charentes.
Grâce à Laurent Cauzinille, diplômé du Collège Américain de Médecine Interne et du Collège Européen de Neurologie exerçant au C.H.V. de Frégis, nous les passerons en revue en trois fois. Il traitera l’examen clinique, le choix des examens complémentaires et les traitements. Après le premier module sur l’atteinte optique et l’an...
En savoir plus
Le 9 mars 2017Granzay-Gript (79360)NeurologiePoitou-Charentes203Soirée Le chat cardiaque : Suspecter, diagnostiquer et traiter
La section Sud-Est vous propose une soirée de formation en cardiologie féline.
En savoir plus
Le 9 mars 2017Nîmes (30900)CardiologieSud-Est204Après-midi Travaux pratiques de radiographie / TP1 Le Thorax
Le GEIM vous propose une séance de travaux pratiques de radiographies sur le thorax. Tous les aspects sont abordés sous la forme de TP de lecture de radiographies numériques sur station de travail Osirix sur Mac (3 vétérinaires maximum/ordinateur).
En savoir plus
Le 4 mars 2017Aix-en-Provence (13100)Imagerie MédicaleG.E.I.M.199Après-midi Travaux pratiques de radiographie / TP2 l'abdomen
Le GEIM vous propose une séance de travaux pratiques de radiographies sur l'abdomen. Tous les aspects sont abordés sous la forme de TP de lecture de radiographies numériques sur station de travail Osirix sur Mac (3 vétérinaires maximum/ordinateur).
En savoir plus
Le 23 février 2017Paris (75008)Imagerie MédicaleG.E.I.M.177Soirée Actualités en médecine interne
La section Ile de France vous propose une soirée de formation en médecine interne, autour de la gastro-entérologie. Deux conférenciers de talent, Valérie Freiche et Juan Hernandez, nous ont proposé des sujets d’actualité et applicable au quotidien.
Le Dr Hernandez nous présentera les pièges diagnostiques quotidiens les plus importants en gastro-entérologie, ainsi que l’utilisation des a...
En savoir plus
Le 22 février 2017Paris (75008)Gastro-Entérologie
Médecine InterneIle-de-France212Soirée Cardiologie féline
La Section Rhône-Alpes vous propose un cycle de formation de 10 soirées de janvier 2017 à novembre 2018 en médecine féline. A l’issue des soirées de 2017, le participant devra être capable de déterminer l’origine d’une hyperthermie, prendre en charge une cardiomyopathie féline, un syndrome digestif chronique, un ictère, une atteinte de la cornée ou du cristallin ou une tumeur cérébrale, encépha...
En savoir plus
Le 16 février 2017Lyon (69007)CardiologieRhône-Alpes181Viscum album en cancérologie : De la recherche à l'utilisation au quotidien
ATTENTION ! PLUS QUE QUELQUES PLACES DISPONIBLES
Les extraits de gui fermenté (Viscum album) peuvent être utilisés en cancérologie en complément des traitements conventionnels ou en alternatif quand ceux-ci ne sont pas appropriés ou refusés par les propriétaires. Aujourd’hui l’utilisation du Viscum album dépasse celle de la médecine traditionnelle grâce aux
résultats des...En savoir plus
Le 4 février 2017PARIS (75008)Biothérapie171Les nerfs crâniens épisode 1/3 . La vue : de la cécité au strabisme, savoir ce qu’il faut rechercher et traiter
2017 sera l’année des nerfs crâniens en Poitou-Charentes.
Grâce à Laurent Cauzinille, diplômé du Collège Américain de Médecine Interne et du Collège Européen de Neurologie exerçant au C.H.V. de Frégis, nous les passerons en revue en 3 fois. Il traitera l’examen clinique, le choix des examens complémentaires et les traitements. La première étape sera Poitiers et concernera la neuro-oph...
En savoir plus
Le 2 février 2017Saint Benoit (Poitiers) (86280)NeurologiePoitou-Charentes202Soirée Conduite à tenir en ophtalmologie (saison 2)
Cette présentation se veut pratique et adaptée à l’exercice quotidien. Des arbres décisionnels permettant d’aider à la prise en charge de syndromes classiques en ophtalmologie vous seront exposés. L’accent sera mis sur les pièges diagnostiques et les options thérapeutiques. Le tome II des conduites à tenir en Ophtalmologie vous sera remis afin de trouver une place privilégiée dans votre « vétot...
En savoir plus
Le 2 février 2017Saint-Laurent-Blangy (62223)OphtalmologieG.E.M.O.22228ème Cours AO de Traitement des fractures - Cours d’Initiation
Renouvellement et Nouveautés !
Forts du grand succès de ces dernières années, le Cours “AO“ de Traitement des Fractures est reconduit en 2017.
Comme les trois années précédentes, pour sa 28° édition, il est organisé selon le modèle des Cours AO Nord-Américains. C’est donc un cours plus concentré (3 jours et demi) pour le même nombre d’heures de conférences et de travaux pratiqu...
En savoir plus
Du 29 janvier au 1 février 2017PARIS (75014)Chirurgie
OrthopédieG.E.C.O.V., G.E.C.O.V.165Autour du sang
La Section Bourgogne Franche-Comté vous propose une formation de deux jours autour du sang. Seront abordés le diagnostic et la prise en charge de différentes affections comme une thromboembolie, une hémorragie, un trouble de la coagulation, une anémie, une hypotension...
En savoir plus
Du 27 au 28 janvier 2017Beaune (21200)Biologie clinique
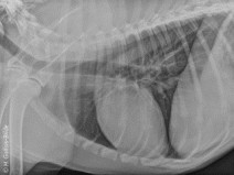
Urgence et RéanimationBourgogne Franche-Comté, G.E.U.R.154Les shunts porto-systémiques
Fort du grand succès de la journée spécialisée sur les calculs urétraux chez le chat de l’année dernière, le GEC organise le jeudi 26 Janvier 2017 une journée spécialisée autour des shunts port-systémiques.
Comme l’année dernière, cette journée destinée à des chirurgiens expérimentés, aura lieu chez le laboratoire Boehringer à Paris. L’objet n’est pas de faire le point des connaissances...
En savoir plus
Le 26 janvier 2017PARIS (75013)ChirurgieG.E.C.208Plan modulaire en génétique clinique - Module 1
Le diagnostic génétique moléculaire évolue vers toujours plus de possibilités et de technicité. Notre génétique clinique reste en attente d’une mise à jour des connaissances qui permette d’intégrer correctement l’usage de celui-ci, par définition complémentaire, au même titre que d’autres techniques avec lesquelles nous sommes davantage familiarisés. Nous vous proposons de réaliser cette nécess...
En savoir plus
Du 25 au 26 janvier 2017PARIS (75008)GénétiqueNational (Siège)166Les 2 Alpes 2017 : le squelette inside and outside
Ces dernières années, le développement des techniques d’imagerie a largement modifié notre approche des affections osseuses et nerveuses. Cependant, les avancées techniques ne permettront jamais de remplacer la base de notre métier : l’examen clinique. L’ensemble des modules, répartis par région anatomique (tête et cou, colonne, membres) s’appuiera avant tout sur un...
En savoir plus
Du 22 au 27 janvier 2017LES 2 ALPES (38860)Imagerie Médicale
Chirurgie
Neurologie
Orthopédie
Otologie
Thérapeutique / Médicament
TraumatologieG.E.I.M.160Week-End au Markstein 2017 : Boiteries et Physiothérapie
Etre capable :
- d’aborder cliniquement un chien boiteux
- de choisir et de réaliser les bons examens complémentaires
- de décrire les techniques de physiothérapie, de les appliquer et de les prescrire.
En savoir plus
Du 21 au 22 janvier 2017Markstein (68610)Orthopédie
Physiothérapie / RééducationEst259Pyrénévet 2017 : La Chirurgie au Quotidien
LA FORMATION AFFICHE "COMPLET" !
Pyrénévet, le congrès au service du généraliste investi ! Les sections Aquitaine et Midi-Pyrénées-Languedoc de l'AFVAC vous proposent d'aborder la chirurgie en 2017. Nous avons sélectionné pour vous les incontournables en anesthésiologie-réanimation, chirurgies digestive,...
En savoir plus
Du 20 au 22 janvier 2017Saint-Lary-Soulan (65170)ChirurgieAquitaine, Midi-Pyrénées - Languedoc170
Du 20 au 22 janvier 2017Saint-Lary-Soulan (65170)ChirurgieAquitaine, Midi-Pyrénées - Languedoc278Modalités de suivi des Maladies Valvulaires Dégénératives
Être capable de :
Suivre une MVD asymptomatique
Présenter les recommandations de traitements des MVD asymptomatiques et symptomatiques
Suivre et d'adapter le traitement d'une MVD symptomatique
En savoir plus
Le 19 janvier 2017CHAMBRAY LES TOURS (37170)CardiologieCentre198
