Anciennes formations

  • Après-midi ASV : Autour de la césarienne

    La section Poitou-Charente vous propose une formation pour le personnel soignant en pathologie de la reproduction. A l'issue de cette formation le participant devra être capable de préparer le bloc opératoire pour une cesarienne, préparer la chienne, effectuer la réanimation des chiots.. 

    En savoir plus

    b499a6d857b1edb3b994811d132eeeca
    Le 7 décembre 2017
    Cognac (16100)
    Personnel Soignant
    Reproduction-Elevage
    Poitou-Charentes
    257
  • Journée Antibiorésistance chez les animaux de compagnie : conséquences pour l’antibiothérapie

    FORMATION REPORTÉE

    La résistance aux antibiotiques a désormais obtenu le statut de zoonose. Homme et Animal échangent non seulement des bactéries avec, lorsque ces bactéries sont pathogènes, un risque infectieux,mais aussi des facteurs de résistance qui sont susceptibles de compromettre l’efficacité d’un traitement antibiotique. Praticiens vétérinaires, spé...

    En savoir plus

    4eb5a83f9a481c60617ebcbb3b48bd9e
    Le 7 décembre 2017
    Aix-en-Provence (13100)
    National (Siège), Sud-Est
    300
  • Soirée Epanchements abdominaux chez le chien

    Le Professeur Jack-Yves Deschamps, chef de service des urgences d'Oniris, va nous présenter les différents mécanismes qui conduisent à la formation des épanchements abdominaux chez le chien et le chat, afin d'en déduire les causes qui les ont générés et d'envisager leur traitement.

    En savoir plus

    ad59c85dcc6c45c92e90b72c32202efe
    Le 7 décembre 2017
    Mérignac (33700)
    Médecine Interne
    Aquitaine
    432
  • PM Féline S4 - Module1 : exercice vétérinaire en clientèle féline

    Inscription complète

    Formation vétérinaire féline : un cycle d'études approfondies en pathologie féline, réparti sur 10 modules de 3 jours tous les 2 à 3 mois, de décembre 2017 à septembre 2019.

    Cette formation est ouverte aux docteurs vétérinaires qui souhaitent développer leur activité féline dans leur structure. Les objectifs péd...

    En savoir plus

    322eff65982435f46f5ade9aaa9dfb0f
    Du 6 au 8 décembre 2017
    PARIS (75008)
    Médecine Féline
    National (Siège)
    335
  • ASV le Congrès Nantes 2017

    LE RENDEZ-VOUS ANNUEL DES ASV

    Pour le trio organisateur, l’AFVAC, APFORM et l’AssAV, comme pour un nombre croissant de praticiens, la clé des performances de tout établissement de soins vétérinaires passe également par la formation des Auxiliaires Spécialisés Vétérinaires.

    Fort de son succès, ASV le Congrès vous donne rendez-vous pour sa 3ème édition les 24 et 25 novembre 2017...

    En savoir plus

    aa5830cf41c0e0868fb5f4bbb58d9d5a
    Du 24 au 25 novembre 2017
    Nantes (44000)
    Personnel Soignant
    National (Siège)
    288
  • ASV La Soirée Nantes 2017

    La soirée de l’année pour les ASV vous donne rendez-vous vendredi 24 novembre 2017 à partir de 20 h dans un cadre exceptionnel nantais.

    Cocktail dinatoire, soirée dansante et de nombreuses surprises sont au programme pour votre plus grand plaisir.

    Inscrivez-vous dès maintenant !

    En savoir plus

    27c5291796f57ff2c9fd098a69b88ba4
    Le 24 novembre 2017
    Nantes (44000)
    Personnel Soignant
    National (Siège)
    333
  • Congrès AFVAC 2017 : Vétos 2.0, la mutation

    Le Congrès national organisé par l’AFVAC (Association Française des Vétérinaires pour Animaux de Compagnie) est l’événement incontournable de l’année pour les vétérinaires souhaitant se former de manière théorique et pratique, et s’informer sur les dernières innovations techniques et scientifiques pour une meilleure prise en charge des animaux de compagnie.

    En savoir plus

    cdecfe3f6d1dba22577805815df65415
    Du 23 au 25 novembre 2017
    Nantes (44000)
    Ostéopathie et Acupuncture
    Anatomie Pathologique
    Anesthésiologie / Analgésie
    Autres
    Biologie clinique
    Biothérapie
    Cardiologie
    Chirurgie
    Comportement
    Dermatologie
    Endocrinologie
    Gastro-Entérologie
    Imagerie Médicale
    Management
    Médecine Féline
    Médecine Interne
    N.A.C
    Neurologie
    Nutrition
    Alimentation et Diététique
    Dentisterie-Stomatologie
    National (Siège)
    317
  • Rencontres Eleveurs - Vétérinaires

    Elevage canin / félin 2.0 : mises à jour en prévention et néonatalogie

    Bien prévenir évite de guérir et Néonatalogie, nouveauté 2017: l'essentiel en 5 conseils.

    Deux programmes spécifiques cette année, l'un pour les éleveurs canins, l'autre pour les éleveurs félins, mais autour des mêmes thématiques.

    En savoir plus

    5f0fdf52533e655a9a58cbf5c9492d34
    Le 20 novembre 2017
    Nantes (44000)
    Reproduction-Elevage
    National (Siège)
    318
  • Soirée Neurologie féline

    La Section Rhône-Alpes vous propose un cycle de formation de 10 soirées de janvier 2017 à novembre 2018 en médecine féline. A l’issue des soirées de 2017, le participant devra être capable de déterminer l’origine d’une hyperthermie, prendre en charge une cardiomyopathie féline, un syndrome digestif chronique, un ictère, une atteinte de la cornée ou du cristallin ou une tumeur cérébrale, encépha...

    En savoir plus

    d9d575c728bdbeb7df1ea4394db9fedc
    Le 16 novembre 2017
    Lyon (69007)
    Neurologie
    Rhône-Alpes
    186
  • 249
  • Cours modulaire de dermatologie canine et féline - Niveau 1 Partie pratique (modules 4 et 5)

    Public visé : La formation est ouverte aux docteurs vétérinaires qui souhaitent offrir au sein des établissements de soin vétérinaire des prestations de qualité accrue en dermatologie des animaux de compagnie

    Prérequis : être docteur vétérinaire et pouvoir justifier d’une expérience clinique ayant conduit à identifier des limites sémiologiques et
    opérationnelles en dermatologie....

    En savoir plus

    1a68f9556ac566f979580e635322284a
    Du 16 au 17 novembre 2017
    Paris (75008)
    Dermatologie
    G.E.D.A.C.
    398
  • Dermatologie: quand les antiprurigineux ne suffisent pas…

    Le bureau AFVAC Midi-Pyrénées Languedoc vous propose une journée de formation en dermatologie. Le thème choisit "Quand les antiprurigineux ne suffisent pas" permet d'aborder des sujets qui préoccupent tout praticien généraliste au quotidien, comme la prise en charge d'une infection cutanée, le choix d'un antipuce ou encore la désensibilisation d'un animal atopique.

    En savoir plus

    d511418d08a27b04442dbccc310a6cb7
    Le 10 novembre 2017
    Toulouse (31300)
    Dermatologie
    Midi-Pyrénées - Languedoc
    260
  • Soirée Abdomen aigu

    Notre invité est Marcel Aumann, responsable du service « Urgences et soins intensifs » à la clinique des animaux de compagnie de l’ENVT. Diplômé des collèges américain et européen de médecine d’urgence et de soins intensifs en plus du collège américain de médecine interne, il est plus que qualifié pour nous présenter comment aborder dans l’urgence, un syndrome abdomen aigu.

    Cette soirée...

    En savoir plus

    d17a891aac1b2298d59a11c28673124f
    Le 9 novembre 2017
    Salies-de-Béarn (64270)
    Médecine Interne
    Urgence et Réanimation
    Aquitaine
    268
  • Dentisterie et stomatologie canine et féline

    Cette formation présentée par le Dr Philippe HENNET, diplomé EVDC et AVDC, s'adresse aux vétérinaires canins voulant approfondir leurs connaissances dans les maladies buccales courantes du chat et du chien afin de proposer et développer les soins bucco dentaires dans leur structure.

    En savoir plus

    65a528e80d11f84e6158028e94d70051
    Du 4 au 5 novembre 2017
    Saint-Gilles les Bains (97434)
    Dentisterie-Stomatologie
    Océan Indien
    382
  • ASV : le conseil en dentisterie canine et féline

    Etre capable de :

    • déterminer l'âge d'un carnivore domestique en fonction de sa dentition
    • conseiller un client sur la prévention et le traitement du tartre de son chien ou son chat
    • conseiller au client les soins dentaires appropriés à effectuer selon l'âge de son animal
    • prodiguer aux propriétaires les meilleurs conseils pour éduquer son chien au brossage dentaire
    • nettoyer et entretenir le matériel de dentisterie

    En savoir plus

    817813ccb78588f745949107eefb430c
    Le 3 novembre 2017
    Saint-Gilles les Bains (97)
    Dentisterie-Stomatologie
    Personnel Soignant
    Océan Indien
    362
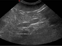
  • Échographie de la rate, des surrénales et des noeuds lymphatiques / TP ponctions échoguidées

    Public visé : La formation est ouverte aux docteurs vétérinaires qui souhaitent offrir au sein des établissements de soin vétérinaire des prestations de qualité accrue en échographie des animaux de compagnie

    Prérequis : Être docteur vétérinaire. évoluer dans une structure de soins vétérinaires disposant d’un échographe ou vouée à en disposer dans un...

    En savoir plus

    80fcdf0401bb4e086877d69d94af813a
    Du 21 au 22 octobre 2017
    Mérignac (33700)
    Imagerie Médicale
    G.E.I.M.
    217
  • Dermatite Atopique Canine : Up to D.A.C.

    NON, nous ne savons pas tout sur la D.A.C. !

    OUI, notre confrère Didier PIN, professeur de dermatologie à VetAgroSup, vous dira tout sur cette entité pathologique à laquelle nous sommes régulièrement confrontés lors de nos consultations de dermatologie.

    Les choses évoluent, nous devons suivre le mouvement !

    En savoir plus

    64847d50ee4b13e704ef22309a2a450c
    Le 19 octobre 2017
    Mérignac (33700)
    Dermatologie
    Aquitaine
    391
  • Cours intermédiaire de pathologie comportementale canine "Troubles liés à la séparation"

    Les troubles reliés à la séparation se traduisent par des manifestations gênantes, destructions, vocalises, malpropreté, fugue, qui apparaissent lorsque le chien est séparé de son ou ses maîtres, ou lorsqu’il est laissé seul. Vouloir faire disparaître le symptôme gênant suppose que l’animal soit pris en charge dans son ensemble. A l'issue de cette journée, le praticien saura identifier la cause...

    En savoir plus

    751f3b01d12bae936f63697a1b487f0d
    Le 17 octobre 2017
    Paris (75008)
    Comportement
    G.E.C.A.F.
    197
  • Chat va pas trop ! Actualités diagnostiques et thérapeutiques en médecine féline

    La section Nord vous propose une journée de formation et d'actualisation des connaissance en thérapeutique féline. A l'issue de cette formation, le participant devra être capable de décrire les modalités de diagnostic et de prise en charge d'un diabète sucré, une hyperthyroïdie, une hypertension arterielle, une dyspnée,une MICI, un lymphome digestif, une constipation, un complexe gingivo-stomat...

    En savoir plus

    ea740484262aa7fcfe71544eb1e89245
    Le 15 octobre 2017
    Arras (62000)
    Médecine Féline
    Thérapeutique / Médicament
    Nord
    213
  • Chat va pas trop ! (Programme ASV)

    La section Nord propose une journée de formation dédiée au personnel soignant. A l'issue de cette formation, les participants devront être capable de choisir le traitement anti-puce adapté, de décrire les signes d'alerte des principales dysendocrinies félines ou encore de réaliser une contention adaptée d'un chat.

    En savoir plus

    8d28b4f6f8ca8652edf6fe45e3f9033b
    Le 15 octobre 2017
    Arras (62000)
    Personnel Soignant
    Nord
    214
  • Journée initiation et approche pratique de la physiothérapie

    Cette journée de formation en physiothérapie s’adresse aux vétérinaires pratiquant une activité canine et souhaitant débuter une activité de physiothérapie ou souhaitant mieux comprendre cette discipline afin de mieux référer les chiens et les chats concernés.

    En savoir plus

    105325b94c3e39696a4b538ca7549c88
    Le 15 octobre 2017
    Saint-Martin-du-Vivier (76160)
    Physiothérapie / Rééducation
    Normandie
    285
  • 211
  • Actualités autour de la prise en charge de la douleur : chiens, chats et NAC

    La section Bourgogne-Franche-Comté propose une journée sur la prise en charge de la douleur chez le Chien, le Chat et les NAC. A l'isue de cette formation le participant devra être capable d'exliquer les bases physiopathologiques de l'analgésie raisonnée, d'utiliser les méthodes d'évaluation de la douleur et de la prendre en charge.

    En savoir plus

    7b16c415fe44f07bef35959f5f4b7f7a
    Le 14 octobre 2017
    Besançon (25000)
    Anesthésiologie / Analgésie
    Bourgogne Franche-Comté
    153
  • Bases de l’échographie abdominale (module central - niveau de base) : Nantes

    Public visé : La formation est ouverte aux docteurs vétérinaires qui souhaitent offrir au sein des établissements de soin vétérinaire des prestations de qualité accrue en échographie des animaux de compagnie

    Prérequis : Être docteur vétérinaire. évoluer dans une structure de soins vétérinaires disposant d’un échographe ou vouée à en disposer dans un...

    En savoir plus

    6a81b2c0f9e6b2017f7ef907697631d9
    Du 14 au 15 octobre 2017
    La-Chapelle-sur-Erdre (44242)
    Imagerie Médicale
    G.E.I.M.
    234
  • Cycle homéopathie : MODULE 1 Pathologie générale

    Vous transmettre les connaissances et les outils pour utiliser l’homéopathie dans votre pratique vétérinaire quotidienne, tel est notre objectif !

    L'homéopathie est une thérapeutique efficace, pragmatique, alternative ou complémentaire aux techniques conventionnelles qui s'appuie sur la pratique de la clinique vétérinaire et la connaissance de la matière médicale.

    ...

    En savoir plus

    4e31e6c0975f4520260a9e55e90621ab
    Du 13 au 14 octobre 2017
    PARIS (75008)
    Biothérapie
    301

AFVAC

Autres