62901585b02185ff181742238189cb10
567x
Le 12 décembre 2019
Biologie clinique
Chenôve
Bourgogne Franche-Comté

Présentation de la formation

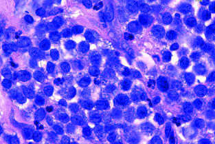
La cytologie est un des moyens les plus fiables et les moins onéreux permettant d'identifier certaines tumeurs au chevet du malade et ainsi d'orienter l'attitude thérapeutique ou chirurgicale.

La cytologie des liquides biologiques (LCR, synovial, épanchement) permet aussi d'obtenir des éléments diagnostiques clés.

 

Prérequis

Etre vétérinaire ou étudiant vétérinaire.

Objectifs pédagogiques

Etre capable :

  • de réaliser des prélèvements exploitables ;
  • d'identifier formellement certaines néoformations cutanées ;
  • d'orienter le diagnostic à partir de liquide biologique ;
  • de connaitre les bonnes pratiques d'envoi du matériel cytologique en laboratoire spécialisé.

Formateurs

Anne Girard-Luc (DV, Dip. ECVP, DESV d'Anatomie Pathologique Vétérinaire)

Modalités d'apprentissage

1h30 de programme se déclinant en 1h30 de cours

Validation

Base de points pour cette formation : 0.08 CFC.

Lieu

Clos du Roy

35 Avenue du 14 Juillet

21300 Chenôve, France

Conditions d’accessibilité des personnes en situation de handicap

Si vous êtes en situation de handicap, merci de nous le faire savoir afin de mettre en place les mesures nécessaires. Notre référente handicap, chargée de l’intégration de la sécurisation de votre parcours est disponible : referenthandi@afvac.com.

Pour les formations d’une journée et plus, en cas de restrictions alimentaires, veuillez nous contacter au moins 10 jours avant la formation.

Renseignements scientifiques

Catherine Mège

cmege@wanadoo.fr

+33 3 80 51 04 31

Renseignements inscription

Léonilde Focquenoy

leo.focquenoy@gmail.com

+33 3 80 51 04 31

 

Programme de formation

12 décembre 2019

19 h 30
20 h 30
Accueil des participants
20 h 30
22 h 00
La cytologie : c'est tous les jours!
Cours
Anne Girard-Luc
12/12/2019
Oui
Le 12 décembre 2019
Non

cmege@wanadoo.fr

+33 3 80 51 04 31

leo.focquenoy@gmail.com

+33 3 80 51 04 31

AFVAC

Autres