Anciennes formations

  • Programme inter AFVAC Junior thème : le brachycéphale

    L’équipe de Toulouse est heureuse de vous retrouver au rendez-vous annuel de l’AFVAC junior. Le thème retenu « Le brachycéphale » permettra aux conférenciers d’aborder avec vous les différentes pathologies et les conduites à tenir face à ces races bien particulières.>Nous espérons que ces deux jours sur notre verdoyant campus seront aussi enrichissants qu’agréables. En vous souhaitant un bon...

    En savoir plus

    d3ccf698431100146f55179ed73c302a
    Du 6 au 7 avril 2019
    Toulouse (31300)
    Reproduction-Elevage
    National (Siège)
    753
  • 610
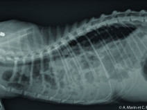
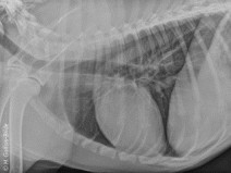
  • Travaux pratiques de radiographie / Le Thorax

    Le GEIM vous propose une séance de travaux pratiques de radiographies sur le thorax. Tous les aspects sont abordés sous la forme de TP de lecture de radiographies numériques sur station de travail Osirix sur Mac (3 vétérinaires maximum/ordinateur).

    En savoir plus

    18443e0cca67313c7cbd481b28c90011
    Le 4 avril 2019
    Dardilly (69570)
    Imagerie Médicale
    G.E.I.M.
    643
  • PM Féline S4 - Module7: Pathologie respiratoire / Odonto-stomatologie

    Formation complète

    Etre capable de

    • repérer un animal dyspnéique et localiser l’atteinte ;
    • de choisir les bons examens complémentaires pour l’exploration d’une affection pulmonaire ;
    • de traiter les principales affections thoraciques : pyothorax, bronchopneumonies, asthme ;
    • d’acquérir une démarche de lecture des radiographies thoraciques chez le Chat ;
    • de prendre en charge les grandes affections de la sphère oropharyngée : maladie parodontale, stomatite féline, inflammation de la pulpe dentaire… de décrire les indications et la réalisation technique d’extractions dentaires.

    En savoir plus

    626bc0f5a54edffb0b8d6ce816011f41
    Du 3 au 5 avril 2019
    Paris (75008)
    Médecine Féline
    National (Siège)
    604
  • Module 3 : Plan modulaire de formation en dentisterie

    Ce cours modulaire permet d’acquérir des bases théoriques solides en odontostomatologie tout en assurant une formation pratique de qualité.

    Public visé
    La formation est ouverte aux docteurs vétérinaires qui souhaitent offrir au sein des établissements de soin vétérinaire des prestations de qualité accrue en dentisterie et stomatologie.

    Prérequis
    Être docteur vétérinair...

    En savoir plus

    39a0516de38bd57133eb93e61e6fd6ff
    Du 1 au 3 avril 2019
    Nantes (44300)
    Dentisterie-Stomatologie
    G.E.R.O.S.
    572
  • Les journées du GEMI 2019

    Formation complète

    Pour leur 27e édition, les journées annuelles du GEMI retrouvent le cadre ensoleillé du Sud-Est. Dans un cadre idylique en bord de mer, un programme riche et varié vous sera proposé : endocrinologie, gastro-entérologie, maladies infectieuses mais également neurologie, cardiologie…

    Les cas cliniques et les communications libres occuperont...

    En savoir plus

    1a5fde55d0084b21a0b793894a6a4e4c
    Du 29 au 30 mars 2019
    Saint-Cyr-sur-Mer (83270)
    Médecine Interne
    G.E.M.I.
    640
  • Base de l'échographie abdominale (physique, réglages, artefacts) - Module Central - Niveau de base

    Principes du plan modulaire :

    Le plan de formation est composé d’un module central et de sept modules satellites.

    L’objectif du module central est d’instaurer un protocole standardisé pour l’examen échographique de l’abdomen. Les bases théoriques et pratiques de l’échographie, la topographie abdominale et l’aspect échographique normal des organes abdominaux se...

    En savoir plus

    f0600090477b465263b58e1e54da9838
    Du 29 au 30 mars 2019
    Dardilly (69570)
    Imagerie Médicale
    G.E.I.M.
    689
  • Échographie : Les urgences - Module satellite F - Niveau avancé

    Principes du plan modulaire :

    Le plan de formation est composé d’un module central et de sept modules satellites.

    L’objectif du module central est d’instaurer un protocole standardisé pour l’examen échographique de l’abdomen. Les bases théoriques et pratiques de l’échographie, la topographie abdominale et l’aspect échographique normal des organes abdominaux se...

    En savoir plus

    fb45621563f7382c01acb8467c78bfc7
    Le 28 mars 2019
    La Chapelle-sur-Erdre (44242)
    Imagerie Médicale
    G.E.I.M.
    654
  • Nutrition du chiot et du chaton : du sevrage à l'âge adulte

    La journée de formation porte sur le thème de la nutrition du chiot et du chaton : du sevrage à l'âge adulte. Elle repond à deux grandes questions :
    - comment adapter l'alimentation au cours de la croissance?
    - comment adapter l'alimentation lors d'affection lors de la croissance: obésité, retard de croissance, diarrhées chroniques, coryza, affections rénales, parvovirose, caliciviru...

    En savoir plus

    9375225b8c7776bbe67fc9f63def6e26
    Le 28 mars 2019
    Velaine-en-Haye (54840)
    Nutrition
    Alimentation et Diététique
    G.E.N.A.D., Est
    736
  • PM Féline S5 - Module 3 - Cardiologie / Urgentologie

    Formation complète

    Être capable :

    • de reconnaître les signes d’appel de cardiomyopathie chez le Chat ;
    • de mettre en oeuvre et interpréter les examens complémentaires nécessaires dans la démarche ;
    • diagnostique d’une cardiomyopathie chez le Chat ;
    • de mettre en place une thérapeutique adaptée lors de phase aiguë et lors de phase chronique ;
    • de prendre en charge les complications éventuelles (thromboembolies) ;
    • de reconnaître les signes d’hypertension systémique et la prendre en charge dans sa phase aiguë et dans sa phase chronique ;
    • de prendre en charge une détresse respiratoire ;
    • de prendre en charge une défaillance cardio-circulatoire.

    En savoir plus

    d282852e8b9d7db3b5bef0b454654827
    Du 27 au 29 mars 2019
    PARIS (75008)
    Médecine Féline
    National (Siège)
    602
  • Journée AFVAC NORD Dermatologie : ce qui nous pose souvent problème

    Le GEDAC présente après ses deux journées annuelles sur le mastocyte (la cellule, les dermatoses mastocytaires tumorales et non tumorales) puis sur la peau et  les allergènes (acariens domestiques, pollens, allergènes alimentaires…), un niveau plus généraliste, dans le cadre de la journée de printemps de l’AFVAC Nord, sur les principaux motifs de consultation en dermatologie.

    En savoir plus

    351a33e3c30ea34f17f52c769b057147
    Le 24 mars 2019
    Arras (62000)
    Dermatologie
    Nord, G.E.D.A.C.
    585
  • Dermatologie : programme ASV

    Etre capable de :

    • expliquer ce qu'est un chien allergique ;
    • assister le vétérinaire pour la réalisation d'un prélèvement dermatologique ;
    • conseiller un propriétaire sur un shampoing.

    En savoir plus

    3019f38175144ffaa40f505b294b9cdd
    Le 24 mars 2019
    Arras (62000)
    Personnel Soignant
    Nord, G.E.D.A.C.
    588
  • Vet In Normandie : Mon vieux chien peine à se déplacer

    La section Normandie propose de renouer avec une formation mixte orthopédie/neurologie comme précédemment au congrès de Deauville. Pour cette première année, le sujet sera centré sur les problèmes locomoteurs du vieux chien.

    Cette formation sur deux jours a pour objectif de réaliser une synthèse des affections orthopédiques et neurologiques du chien âgé présentant des difficultés locomo...

    En savoir plus

    66959c93f51ce1580e844185aec56ee5
    Du 23 au 24 mars 2019
    Caen (14000)
    Chirurgie
    Neurologie
    Orthopédie
    Physiothérapie / Rééducation
    Normandie
    525
  • Journées annuelles du GEDAC

    Le GEDAC propose en mars 2019, un programme alliant, en premier lieu, un niveau confirmé avec une journée sur le mastocyte (la cellule, les dermatoses mastocytaires tumorales et non tumorales), une journée sur peau et allergènes (acariens domestiques, pollens, allergènes alimentaires …) et, dans un second temps, un niveau plus généraliste, dans le cadre de la journée...

    En savoir plus

    63256d448e00fd6caf7cd105dc07e4f5
    Du 22 au 23 mars 2019
    Arras (62000)
    Dermatologie
    G.E.D.A.C.
    660
  • Journées annuelles du GEDAC et Journée AFVAC Nord

    Le GEDAC propose en mars 2019, un programme alliant, en premier lieu, un niveau confirmé avec une journée sur le mastocyte (la cellule, les dermatoses mastocytaires tumorales et non tumorales), une journée sur peau et allergènes (acariens domestiques, pollens, allergènes alimentaires …) et, dans un second temps, un niveau plus généraliste, dans le cadre de la journée...

    En savoir plus

    79d0020ba26a9358355a059c44a0951f
    Du 22 au 24 mars 2019
    Arras (62000)
    Dermatologie
    G.E.D.A.C., Nord
    681
  • Soirée les viroses du chat

    Plus que pour le chien, les viroses sont au centre de la pathologie du chat et doivent être parfaitement appréhendées pour une bonne pratique de la médecine féline.

    En savoir plus

    bc2f2c40d964cad16f94123af0ca1a7a
    Le 21 mars 2019
    Granzay-Gript (79360)
    Médecine Interne
    Maladies virales et bactériennes
    Poitou-Charentes
    527
  • Travaux dirigés - Une urgence : quels examens ? Autour de cas cliniques

    La section Centre vous propose une journée de travaux dirigés sur les examens complementaires autour des urgences.

    A l'issue de cette formation, le participant devra être capable d'effectuer un examen clinique hierachisé dès l'admission, de répondre à une mise en situation pratique, de connaître et utiliser les gestes qui sauvent.

    En savoir plus

    be8884fbbb37b129d4745dcfdcc54f23
    Le 21 mars 2019
    La Chaussée-Saint-Victor (41260)
    Biologie clinique
    Médecine Interne
    Urgence et Réanimation
    Centre, G.E.U.R.
    673
  • 674
  • PM Médecine préventive Module3

    Public visé
    La formation est ouverte aux docteurs vétérinaires qui souhaitent mettre en place un service de médecine préventive au sein des établissements de soin vétérinaire.

    Prérequis
    Être docteur vétérinaire.

    Durée
    La formation s’organise en 4 modules de 2 jours.

    Moyens pédagogiques, techniques et d’encadrement
    Un support de formation est mis à dis...

    En savoir plus

    93bb98120583828c45900b5ce1f8b866
    Du 20 au 21 mars 2019
    Paris (75008)
    Médecine préventive
    National (Siège)
    452
  • Cours intermédiaire 2019 de pathologie comportementale "Thérapies canines"

    Formation complète

    Les thérapies rassemblent l’ensemble des techniques utilisées pour modifier les comportements d’un animal via des changements de son environnement ou des intéractions avec les membres de son groupe. Elles constituent un élément majeur dans la guérison de l’animal.

    Plus difficiles à appréhender, elles sont parfois négligées au profit du mé...

    En savoir plus

    7a8d76cb28a5b5380a520c4f789cb392
    Le 19 mars 2019
    Paris (75008)
    Comportement
    G.E.C.A.F.
    592
  • VETOALP 2019

    Le 27ième congrès Veto’Alp invite le GEC et le GEROS à Chamonix du 17 au 21 Mars 2019. « Tout sur la tête » débutera par une journée spécialisée, optionnelle, le dimanche après-midi et le lundi matin sur les thèmes des  anomalies de développement, de la prise en charge médico-chirurgicale du trauma crânien et du cou, et du traitement chirurgical du méningiome et de l’hydrocéphalie. Le congrès g...

    En savoir plus

    d1cb6bfb2493d2046125d21c957b4307
    Du 18 au 21 mars 2019
    Chamonix-Mont-Blanc (74400)
    Chirurgie
    Neurologie
    Dentisterie-Stomatologie
    Traumatologie
    Rhône-Alpes, G.E.C., G.E.R.O.S.
    571
  • PRE-CONGRES VETOALP 2019

    Le 27ième congrès Veto’Alp invite le GEC et le GEROS à Chamonix du 17 au 21 Mars 2019. « Tout sur la tête » débutera par une journée spécialisée, optionnelle, le dimanche après-midi et le lundi matin sur les thèmes des  anomalies de développement, de la prise en charge médico-chirurgicale du trauma crânien et du cou, et du traitement chirurgical du méningiome et de l’hydrocéphalie. Le congrès g...

    En savoir plus

    194d70859bd5cd66222e5f6fb724c04c
    Du 17 au 18 mars 2019
    Chamonix-Mont-Blanc (74400)
    Chirurgie
    Neurologie
    Dentisterie-Stomatologie
    Traumatologie
    Rhône-Alpes, G.E.C., G.E.R.O.S.
    575
  • VETOALP 2019 et PRE-CONGRES

    Le 27ième congrès Veto’Alp invite le GEC et le GEROS à Chamonix du 17 au 21 Mars 2019. « Tout sur la tête » débutera par une journée spécialisée, optionnelle, le dimanche après-midi et le lundi matin sur les thèmes des  anomalies de développement, de la prise en charge médico-chirurgicale du trauma crânien et du cou, et du traitement chirurgical du méningiome et de l’hydrocéphalie.

    Le c...

    En savoir plus

    e7956eb2c9cf3ab834e44539bf182747
    Du 17 au 21 mars 2019
    Chamonix-Mont-Blanc (74400)
    Chirurgie
    Neurologie
    Dentisterie-Stomatologie
    Traumatologie
    Rhône-Alpes, G.E.C., G.E.R.O.S.
    711
  • Cycle homéopathie (niveau 2) : Module 3 - Dysfonctionnement endocrinien

    Cette seconde année du cycle de formation, organisée par le GEB, se déroule sur cinq modules de deux jours (vendredi et samedi), dont le second ayant pour thème le comportement avec la présence du Dr Geneviève Ziegel, psychiatre homéopathe. Ce nouveau programme s’adresse aux vétérinaires ayant suivi la première année de ce cycle ainsi qu’aux confrères pratiquant déjà l’homéopathie et désireux d...

    En savoir plus

    d2ba3460c05e6a451bc3212ddbe1854d
    Du 15 au 16 mars 2019
    Paris (75008)
    Biothérapie
    516
  • Pour s'épancher sur les épanchements

    "Pour s'épancher sur les épanchements"... Vous l'aurez compris, nous avons souhaité au cours de cette journée proposer un programme qui se veut avant tout pratique. Et ainsi permettre, à partir d'un signe clinique qu'est l'épanchement, de construire une démarche tant diagnostique que thérapeutique.

    En savoir plus

    a2d793e0417d27784a7b1c8638ae02e5
    Le 15 mars 2019
    Plaisance-du-Touch (31830)
    Médecine Interne
    Midi-Pyrénées - Languedoc
    531

AFVAC

Autres